Trusted Dentist in Twickenham for Complete Dental Care
Looking for a reliable dentist in Twickenham? At Twickenham Dental, our experienced team provides high-quality general dentistry, cosmetic dentistry, and advanced treatments including dental implants, teeth whitening, and dental bridges in Twickenham. We are committed to helping you achieve a healthy, confident smile in a modern and welcoming environment.
Our Dental Services in Twickenham
We offer a full range of dental treatments in Twickenham, from routine dental care to advanced restorative and cosmetic procedures.
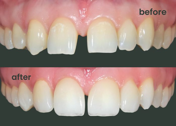
Enhance your smile with our cosmetic dentistry services in Twickenham, designed to improve both appearance and confidence.
Services include:
- Teeth Whitening
- Veneers
- Smile Makeover
- White Fillings
- Gum Line Correction
Our general dental treatments in Twickenham focus on maintaining oral health and preventing dental issues before they develop.
Services include:
- Crowns and Bridges
- Preventive Care
- Surgical Extractions
- Children’s Dentistry
We provide advanced dental care including dental implants in Twickenham for patients who need long-term restorative solutions.
Services include:
- Dental Implants
- All on 4 Treatment
- Periodontics
- Prosthetics
Popular Dental Treatments in Twickenham
We offer a range of popular dental treatments in Twickenham to improve both oral health and appearance.
Replace Missing Teeth with Modern Dental Solutions
If you are missing one or more teeth, we offer effective solutions including dental implants, bridges, and dentures in Twickenham. These treatments restore both function and appearance, helping you eat, speak, and smile with confidence.
Professional Dental Hygiene Services in Twickenham
Maintaining healthy teeth and gums is essential for long-term oral health. Our dental hygienist services in Twickenham include professional cleaning, stain removal, and gum care to help prevent gum disease and keep your smile healthy.



Flexible and Affordable Dental Care in Twickenham
We believe high-quality dental care should be accessible to everyone.
- Transparent pricing → View our Fee Guide
- Spread the cost → 0% Finance with Tabeo
- Save more → With our New Patient Plan
Comfortable and Patient Focused Dental Care in Twickenham
At Twickenham Dental, we focus on providing personalised care in a calm and welcoming environment. Our team takes the time to understand your needs and ensures that every visit is as comfortable as possible.
Gentle Dental Care for Nervous Patients in Twickenham
We understand that visiting the dentist can feel stressful for some patients. Our team provides gentle, supportive care to help nervous patients feel relaxed and confident throughout their treatment.
Meet Your Local Twickenham Dentists
Our experienced dental team is dedicated to providing high-quality care in a friendly and professional setting.
Why Choose Our Twickenham Dental Clinic?
As a trusted dentist in Twickenham, we are committed to delivering high-quality, patient-focused dental care using modern techniques. Many patients choose our clinic for our experience, personalised care, and consistent results.

Experienced and highly qualified dentists

Modern dental technology and techniques

Comfortable and patient-focused care

Private and affordable dental options

Convenient location in Twickenham
Emergency Dentist in Twickenham Same Day Appointments Available
If you are experiencing dental pain, a broken tooth, or any urgent dental issue, our emergency dentist in Twickenham is here to help. We offer same day emergency appointments to provide fast relief and expert care when you need it most. Whether you are dealing with a severe toothache, swelling, or dental injury, our team will assess your condition and provide immediate treatment in a professional and reassuring environment.
Family and General Dentistry in Twickenham
We provide comprehensive dental care for patients of all ages. Whether you need routine check-ups, fillings, or preventive care, our team supports your long-term oral health.
Find a Trusted Dentist Near You in Twickenham
If you are searching for a dentist near you, our Twickenham dental clinic is here to provide high-quality care in a convenient and welcoming setting. We welcome patients from across
- Twickenham
- Richmond
- Teddington
- Hounslow
- St Margarets
- Whitton
Whether you need a routine dental check-up, cosmetic dentistry, or advanced treatments such as dental implants, our experienced team is ready to help you maintain a healthy and confident smile close to home.
What Our Patients Say

Great experience at Twickenham Dental on York Street. A very professional and friendly dentist in Twickenham.
James Carter

Needed an emergency dentist in Twickenham and got a same day appointment. Excellent care and quick treatment.
Sarah Mitchell

Very happy with my dental implants in Twickenham. The whole process was smooth and well explained.
Daniel Roberts

Had teeth whitening at Twickenham Dental and the results are fantastic. Highly recommend this clinic.
Emily Watson

Excellent general dental treatment in Twickenham. The team is professional and makes you feel comfortable.
Michael Turner

Chose this clinic for cosmetic dentistry in Twickenham and love the results. Friendly and experienced team.
Olivia Bennett
Frequently Asked Questions
How much do dental implants cost in Twickenham?
The cost of dental implants in Twickenham depends on your individual needs. Book a consultation for a personalised quote.
Is teeth whitening available in Twickenham?
Yes, we offer professional teeth whitening treatments to safely improve the brightness of your smile.
Do you offer dental hygienist services in Twickenham?
Yes, our hygienist services help maintain healthy gums and prevent dental issues.
Do you offer emergency dentist appointments in Twickenham?
Yes, we provide same day emergency dentist appointments in Twickenham for urgent dental problems.
Can I get dental bridges in Twickenham?
Yes, we provide dental bridges in Twickenham to replace missing teeth and restore function.
Are you a private dentist in Twickenham?
Yes, we provide private dental care with flexible treatment options.
Do you treat children at your dental clinic?
Yes, we offer dental care for children in a friendly and comfortable environment.
Book Your Appointment with a Trusted Twickenham Dentist Today
Book your appointment today with a trusted dentist in Twickenham and take the first step towards a healthier, brighter smile.
Explore Our Caring & Premium Dental Services
Contact us today to schedule your visit and take the next step towards a healthier smile.