Cosmetic Dentistry Twickenham | Teeth Whitening, Veneers & Invisalign

Looking for cosmetic dentistry in Twickenham? Get brighter, straighter teeth with whitening, veneers & invisalign. Book your consultation today.

If you are considering improving the appearance of your smile, our experienced team at Twickenham Dental offers modern cosmetic dentistry treatments designed to create natural, confident smiles.

Cosmetic dentistry focuses on enhancing the shape, colour and alignment of teeth while maintaining strong oral health. Whether you want straighter teeth, a brighter smile or a complete transformation, our clinic provides personalised treatment plans to help you achieve your goals.

Our Twickenham practice provides a full range of cosmetic treatments including Invisalign clear aligners, porcelain veneers, composite bonding, teeth whitening, gum contouring and smile makeovers.

Every treatment begins with a comprehensive consultation so we can understand your concerns and recommend solutions that suit your lifestyle and expectations.

Located in York Street, our clinic welcomes patients from Twickenham and nearby areas throughout South West London

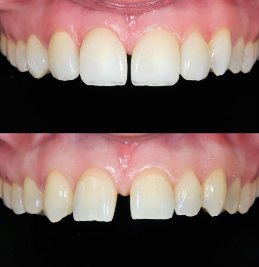
Before and after cosmetic dentistry smile transformation in Twickenham

Why Choose Our Twickenham Cosmetic Dentistry Clinic?

When choosing a cosmetic dentist, experience and attention to detail are essential. Cosmetic procedures require both clinical precision and aesthetic judgement to produce natural looking results.

At Twickenham Dental, we take a personalised approach to every smile transformation.

Comprehensive consultations

We carefully evaluate your oral health, facial proportions and smile aesthetics before recommending treatment.

Advanced dental technology

Modern digital scanning and treatment planning allow us to design precise and predictable results

Natural cosmetic results

Our focus is subtle enhancement rather than artificial changes.

Clear and transparent pricing

Patients receive a detailed treatment plan and cost estimate before beginning treatment.

Comfortable patient experience

Our team prioritises a calm and welcoming environment so patients feel relaxed throughout their visit.

By combining advanced techniques with careful planning, we aim to deliver cosmetic results that improve confidence while maintaining long-term dental health.

Cosmetic Dental Treatments in Twickenham

We offer a wide selection of cosmetic dentistry procedures to address common concerns such as discolouration, uneven teeth, gaps or mild misalignment.

1. Invisalign in Twickenham

Invisalign is a discreet orthodontic treatment that gradually straightens teeth using a series of clear removable aligners.

Unlike traditional braces, Invisalign aligners are almost invisible and can be removed when eating or brushing your teeth.

Invisalign is suitable for treating:

  • Crowded or overlapping teeth
  •  Gaps between teeth
  •  Mild bite issues
  •  Teeth that have shifted after previous orthodontic treatment

Patients typically wear each aligner for around two weeks before moving to the next stage in the treatment sequence.

Depending on complexity, treatment usually takes 6 to 18 months.

Invisalign clear aligners treatment in Twickenham for straight teeth
Teeth whitening treatment at cosmetic dentist in Twickenham

2. Teeth Whitening in Twickenham

Teeth naturally lose brightness over time due to lifestyle factors such as coffee, tea, wine and smoking.

Professional teeth whitening safely removes deep stains and restores a brighter, fresher smile.

Our clinic provides custom home whitening kits designed specifically for your teeth.

These treatments offer:

  • Even whitening results
  • Safe professional supervision
  • Long lasting brightness

Most patients notice visible improvements within the first two weeks of treatment.

3. Veneers in Twickenham

Dental veneers are thin cosmetic shells bonded to the front surface of teeth to enhance their appearance.

They are a popular option for patients who want to improve tooth shape, colour and alignment.

At our Twickenham clinic we provide:

Porcelain veneers

Highly durable restorations that provide long-lasting cosmetic improvements.

Composite veneers

A minimally invasive and more affordable alternative often completed in one appointment.

Veneers can correct:

  • Chipped teeth
  •  Irregular shapes
  • Severe staining
  • Minor spacing issues

Each veneer is carefully designed to complement your smile and facial features.

Dental veneers treatment for improving smile aesthetics in Twickenham

4. Smile Makeovers in Twickenham

A smile makeover is a customised treatment plan combining several cosmetic procedures to transform your smile.

Depending on your needs, this may involve:

  • Invisalign clear aligners
  • Teeth whitening
  • Porcelain veneers
  • Composite bonding
  • Gum contouring

Digital smile design technology allows our dentists to map out the entire treatment plan and preview the final results.

This ensures your new smile looks balanced, natural and harmonious with your facial features.

5. White Fillings in Twickenham

White composite fillings restore teeth damaged by decay or small fractures while maintaining a natural appearance.

Composite materials are colour matched to the surrounding enamel, making them virtually invisible when you smile.

Benefits include:

  • Natural tooth colour
  • Durable restoration
  • Mercury-free material
  • Preservation of healthy tooth structure

Many patients also choose to replace old metal fillings with tooth coloured alternatives.

White composite filling treatment in Twickenham for natural tooth repair
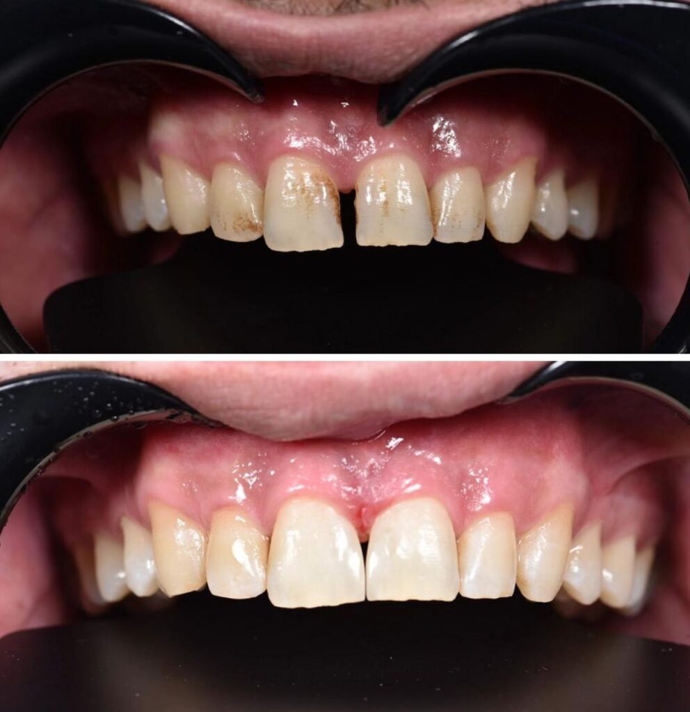
Before and after gum line correction treatment in Twickenham

6. Gum Line Correction in twickenham

Uneven or excessive gum tissue can affect the balance of your smile and make teeth appear too short or uneven.
Gum line correction reshapes the gum tissue to create a more symmetrical and aesthetically pleasing smile.
Our clinic offers precise and minimally invasive gum contouring treatments tailored to your individual needs.

These treatments offer:

  • Improved smile symmetry
  • Enhanced tooth proportions
  • Minimally invasive procedure
  • Long lasting aesthetic results

Most patients notice an immediate improvement in the appearance of their smile after treatment.

Meet Our Twickenham Dental Team

Our dentists combine extensive clinical experience with a passion for aesthetic dentistry.

Every member of our team is dedicated to delivering personalised care and high quality treatment outcomes.

We believe successful cosmetic dentistry begins with listening carefully to our patients and understanding the results they hope to achieve.

Our goal is always to create natural, confident smiles that look and feel completely authentic

Cosmetic Dentist Near You in Twickenham

Our clinic is located on York Street in Twickenham, providing convenient access for patients across South West London.

Patients frequently visit us from nearby locations including:

If you are looking for a cosmetic dentist near Twickenham, our team offers personalised treatments designed to enhance both your smile and overall dental health.

Cosmetic Dentistry Prices in Twickenham

We believe patients should always have a clear understanding of treatment costs before committing to any procedure.

Typical cosmetic dentistry fees at our Twickenham clinic include:

  • Teeth Whitening (Home Kit) – from £380
  • Composite Veneers – from £385 per tooth
  • Porcelain Veneers – from £695 per tooth
  • Edge Bonding – from £200 per tooth
  • Clear Aligners – from £1,850

 

After your consultation, our dentists will provide a detailed treatment plan outlining recommended procedures and associated costs.

0% Finance Available

To help make cosmetic dentistry more accessible, we offer flexible payment plans through Tabeo, allowing patients to spread the cost of treatment.

Benefits include:

  • 0% APR finance options
  • Quick online application
  • Affordable monthly payments
  • Available for many treatments

Our team can help you choose the payment option that suits your needs.

Book Your Appointment with a Twickenham Dentist

Looking for cosmetic dentistry in Twickenham? Our expert team provides advanced treatments to improve your smile and boost your confidence.
Book your consultation with Twickenham Dental today and start your smile transformation.

What Our Patients Say About Cosmetic Dentistry in Twickenham

⭐ Rated 5.0 by patients for smile transformations and cosmetic treatments

★★★★★

I recently had a cosmetic dental treatment and I’m really pleased with the results. Dr Vikram was friendly, professional and made me feel completely at ease throughout. My smile looks so much better and the whole experience was excellent.

— Dev Soni
★★★★★

I had a great experience with cosmetic dentistry at Twickenham Dental. The team are welcoming and professional, and Dr Bilal explained everything clearly. I’m really pleased with how natural my smile looks after treatment.

— Inderpal Nandra

FAQs – Cosmetic Dentistry Twickenham

Prices vary depending on treatment. Teeth whitening begins from £380, veneers from £385 per tooth and clear aligner treatment from £1,850.

Invisalign aligners are transparent and very discreet, making them popular with adults who want a subtle orthodontic solution.

Porcelain veneers typically last 10–15 years while composite veneers usually last 5–7 years with proper care.

Yes. Treatments such as Invisalign or veneers can improve the appearance of crooked or uneven teeth depending on the case.

When performed under professional supervision, teeth whitening is a safe and effective cosmetic treatment.

Scroll to Top